首页 / 要闻 / 连锁经营 / “自泡酒”或成“夺命毒酒”,这种养生方法不可取!

“自泡酒”或成“夺命毒酒”,这种养生方法不可取!

2024.03.15 19:05

文章来源:浙江省酒类流通协会公众号

摘要:

点击蓝字|关注我们“真没想到,喝药酒也会喝出事情,以后再也不敢随便自制这种补酒了...

点击蓝字|关注我们



“真没想到,喝药酒也会喝出事情,以后再也不敢随便自制这种补酒了!”


人在家中坐,祸从天上来。家住杭州桐庐的老蒋(化名)说起自己喝自制药酒的事,肠子都悔青了。



一天一杯药酒 肚子越补越胀


今年60岁的老蒋,自从上了年纪后,就格外关注起自己的身体,但凡是对自己身体有益的养生方法,都会规规矩矩地学起来。老蒋平时身体挺不错,就是偶尔会发一下“风湿痛”。十多年前,他和朋友闲聊时,听说某一种中草药泡酒能够祛风湿,他便马上安排上了。

喝了这种“补酒”后,老蒋自觉风湿痛有所缓解。于是,本来就爱喝酒的他沉溺于这种养生方法无法自拔,每天中午和晚上都要喝上几杯,一天起码喝掉半斤酒。


这个养生习惯,老蒋一坚持就是十多年。十多年过去了,老蒋却渐渐感觉不对劲了,经常感觉到腹胀,还伴有腹痛、腹泻,去当地医院看了好几回,开了点药回来吃,症状却不见好转。

到后来,老蒋都没办法好好上厕所,“输入”困难,“输出”基本停止,偶尔“输出”一次,还出现了便血。老蒋这下慌了……

开腹探查 肠子已被“撑破”


当地医院建议老蒋赶紧到杭州的医院看看。老蒋于是来到了杭州市第一人民医院就诊。

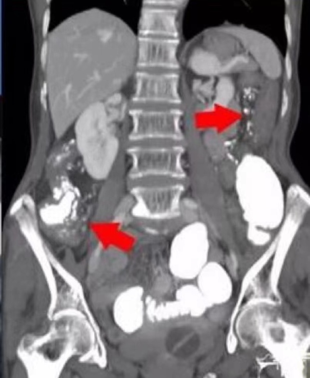
经过腹部CT检查发现,他的结肠壁出现了弥漫性增厚水肿,小肠出现广泛梗阻。接诊的市一医院胃肠肛外科余盼攀副主任医师立刻联系消化内科放置小肠减压管,以缓解肠梗阻症状。

保守治疗并没有起到明显效果。CT检查显示,老蒋的回盲部已经出现了包裹性积液。老蒋的结肠肠壁明显增厚,肠系膜静脉里充满了砂砾状的钙化灶,这导致结肠静脉回流受阻。

为此,余医生决定马上为老蒋进行开腹探查,余医生发现整个肠壁充血、水肿扩张得厉害,已经导致大部分结肠缺血坏死,并发生了慢性穿孔,判断老蒋可能患上了“特发性肠系膜静脉硬化性结肠炎”。

余医生马上为老蒋做了结肠次全切除手术。由于肠壁条件差,吻合后出现肠瘘的风险大,只能选择临时性末端回肠造口,2个半小时后,手术成功,老蒋不得不等待二次手术,等待时机,将小肠通过回纳手术,恢复正常生活。

罪魁祸首竟是“养生酒”


老蒋患上的“特发性肠系膜静脉硬化性结肠炎”是一种极其罕见的缺血性肠病,这种病是以结肠壁增厚为主要特征,目前为止,国内、外文报道不足百例。

老蒋百思不得其解,怎么就和这种罕见病扯上关系呢?经过详细询问后,余医生大概找到了问题的原因所在——和他常年喝的药酒有很大的关系。


有研究显示,“特发性肠系膜静脉硬化性结肠炎”病患几乎都是亚洲人,与长期不当服用中草药有关。大概发病原理是,毒素通过静脉回流发挥作用,被静脉吸收后,逐渐导致静脉内膜出现损伤,进而导致静脉阻塞,最终导致慢性缺血性肠病。

一旦患上这种病,会产生腹痛、腹胀、腹泻和便秘等症状,严重者还会发生肠坏死及穿孔。


提醒:自泡药酒不可取


余盼攀医生表示,平时喝点自家浸泡的药酒是不少人的习惯,但由于白酒本身的质量、草药的配伍、泡制时间以及操作方式的不科学等原因,药酒也有可能泡出“毒”来。
药材的选材甚至浸泡都有严格要求。有时候多种中药配伍在一起,有增效和减毒的功能,必须了解其配伍禁忌,避免产生毒素,最好要在医生的专业指导下进行。

此外,要控制饮用药酒的量,每次控制在10-30ml左右。

特别提醒:药酒也是酒,患有心血管疾病、高血压糖尿病、消化道疾病或者肝肾功能损害的人,饮用前请咨询相关医生。

注意:餐饮自制酒要有“身份标签”


除了在家自泡药酒不可取,餐饮店也不能随意捣鼓自泡酒哦!

根据《餐饮自制泡酒标识规范》规定,在餐饮服务提供者应当加强餐饮自制泡酒标识管理,标识应当标注食品名称、泡制原料表、泡制日期、酒基的生产日期或者生产批号、酒基的生产工艺类型、酒基生产销售者的名称和地址、酒基的食品生产许可证编号或者食品小作坊备案证编号、销售单价等,加入按照传统既是食品又是中药材(或符合相关规定)的泡制原料的餐饮自制泡酒的标识,宜标注推荐饮用量和不适宜人群。


为保护未成年人和人民群众的身体健康,《规范》还要求散装白酒、餐饮自制泡酒标识应当标注“禁止向未成年人售卖”“过量饮酒有害健康”的警示语、标注“阴凉、干燥、通风”贮存条件提示语。

特别需要注意的是,散装白酒和餐饮自制泡酒标识不得标注下列内容:
(一)明示、暗示以及涉及疾病预防、治疗功能的;
(二)明示、暗示具有保健作用的;
(三)以欺骗或者误导的方式描述或者介绍散装白酒的;
(四)有碍限酒健康教育的;以及其他法律、法规和国家有关规定明令禁止标注的内容。

严查:无证生产加工白酒


近日,台州市市场监督管理局召开全市系统2022年一季度专项执法行动暨重点工作部署会,部署全市一季度专项执法行动,开展散装白酒风险隐患专项执法为此次六项监管执法重点之一。


按照省市场监管局《2021年全省白酒行业风险隐患专项整治行动方案》要求,重点针对白酒生产企业、白酒小作坊、农贸市场及周边的白酒经营单位,全面治理白酒产品生产经营全过程中存在的各类风险隐患。

做到生产原辅料“应验尽验”、接触材料“应换尽换”,严厉打击无证生产加工白酒,使用甲醇、工业酒精等非食品原料,非法添加甜蜜素等甜味剂生产加工白酒等违法行为;

做到经营主体“应查尽查”、进货凭证“应索尽索”,重点检查进货查验落实、散装白酒标签标识、盛放、储存、销售散装白酒容器是否符合国家食品安全标准,严厉打击销售产品来源不明、虚假标注、经营假冒伪劣及不符合国家食品安全标准散装白酒、擅自分装或使用食用酒精和香精香料等食品添加剂勾兑冒充散装白酒等违法行为。

本文来源于:杭州市一医院、台州市场监管

声明:凡注明浙江省酒类流通协会原创文章,版权归浙江省酒类流通协会所有,转载请注明出处。本公众号所发布转载文章及部分图片来源于网络,版权归原作者所有,如有侵权,请与我们联系。

点击下方名片关注我们


你的每个点赞和在看,都是对我们的支持~

文章来源:浙江省酒类流通协会公众号

风险提示及免责条款

[温馨提示] 文章来源于浙江省酒类流通协会公众号,转载注明原文出处,此文观点与查生意无关,理性阅读,版权属于原作者若无意侵犯媒体或个人知识产权,请联系我们,本站将在第一时间删掉 ,查生意仅提供信息存储空间服务。

发表评论 (0)
0/200
暂无评论哦,快来评论一下吧!